Descripción
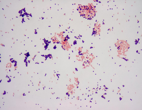
Este kit está diseñado para que estudiantes de enseñanza media desarrollen una investigación experimental completa sobre los microorganismos que habitan el suelo. La experiencia se estructura en tres sesiones principales: recolección y siembra de muestras, análisis de colonias bacterianas en medios de cultivo, y observación microscópica tras la aplicación de tinciones diferenciales.
El enfoque promueve el desarrollo de habilidades científicas como la formulación de hipótesis, el trabajo con medios de cultivo, la bioseguridad en el laboratorio, la preparación de muestras y la observación con microscopio.
Incluye materiales para 10 grupos de trabajo, tales como:
-
Medio de cultivo sólido en frascos listos para usar
-
Placas Petri estériles
-
Tubos y bolsas para recolección de muestras
-
Cristal violeta para tinción
-
Portaobjetos, guantes, torundas y gotarios
-
Guía docente y cuaderno de trabajo para estudiantes
Este kit puede utilizarse en establecimientos que no cuenten con laboratorio tradicional, ya que incluye todos los insumos necesarios para su ejecución en el aula. Es una herramienta ideal para abordar contenidos curriculares en microbiología, ecosistemas y diversidad de organismos, fomentando la indagación y el trabajo colaborativo.





